Pour venir consulter:


14 RUE GAMBETTA

31390 CARBONNE

Tél: 05 61 87 85 44

SMS (uniquement): 06 70 92 98 39





Horaires:


Dr Catherine Ronchini

Les lundi, mercredi et vendredi :

De 9 h à 19 h

Le mardi:

De 14 h à 19 h

Dr. Claire Dionnet

Les mardi, mercredi et jeudi :

De 9 h à 19 h

Le samedi:

De 9 h à 13 h

Orthodontie

L’orthodontie: Pour les jeunes dès 4 ans et l’adulte


Je me suis intéressée et formée à l’orthodontie car, en tant que généraliste, je réalisais les extractions de prémolaires demandées par les orthodontistes, et bien souvent je regrettais de devoir extraire des dents saines.

Être attentif aux signes précoces d’encombrement permet d’éviter de se retrouver avec un pré-ado de 13 ans à qui on va enlever de façon trop systématique 4 prémolaires.
C’est parfois nécessaire, certes, mais il existe de la prévention à cette situation!

C’est pourquoi je me consacre à l’orthodontie tous mes mercredis !

Est ce que mon enfant a besoin de voir un Orthodontiste?
Est qu’il doit arrêter de sucer son pouce sa tétine, son biberon?


Ce qui inquiète les mamans et les papas n’est pas forcément un élément inquiétant pour le dentiste.

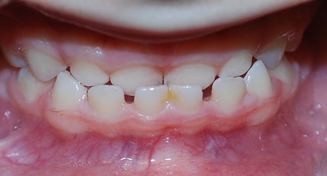
Les incisives mandibulaires poussent souvent derrière les incisives de lait qui tardent à tomber, cela angoisse beaucoup de parents, mais la langue va remettre tout cela en ordre rapidement. L’enfant contribue à leur chute en faisant bouger ses dents. La langue, par sa position et sa pression quotidienne va ramener les dents définitives à leur place.


Les incisives définitives poussent
derrière les incisives de lait

Par contre des éléments bien plus compliqués passent souvent inaperçus pour des parents!

C’est pourquoi il faut amener vos enfants tôt ( dès 3 ans) pour parler de l’arrêt de la tétine, du biberon (si ce n'est déjà fait ) et évaluer les modifications entraînées par ces habitudes sur la bouche. Souvent il n’y a pas de traitement à réaliser, c’est juste du conseil, et on laisse grandir l’enfant. Il sera recontrôlé dans les 6 mois pour voir si la situation s’est améliorée. Si ce n’est pas le cas, on pourra dans certains cas débuter un traitement orthopédique précoce.

La machoire du bas
part à droite
La machoire du bas
part à gauche
Désequilibre
sur les pointes canines

Les 3 grandes périodes de traitement:

Denture lactéale:

L’enfant est en denture lactéale, quand toutes ses dents de lait sont présentes ( entre 4 et 6 ans)
Je vais être attentive aux problèmes de positionnement des mâchoires l’une sur l’autre. Si les dents du bas sont plus en avant que celles du haut (risque de prognatie) je propose un traitement interceptif , pour intercepter ce défaut de placement des mâchoires et pour laisser grandir l’enfant sur des bases osseuses et dentaires normalisées.

Dents du bas
plus en avant
Après 6 mois
de traitement

Si à la fermeture de la bouche l’enfant est gênée par ses canines, il dévie sa mâchoire à droite ou à gauche pour se stabiliser. C’est souvent dû à un maxillaire trop étroit, il faut l’aider à rattraper un défaut de croissance par une orthopédie légère.


Plaque papillon

Il sera souvent demandé de compléter les examens auprès d’un ORL si la respiration nasale est insuffisante, d’un orthophoniste si la position de la langue au repos et en déglutition est incorrecte, d’un posturologue.

Deglutition

Ces traitements durent de 6 à 12 mois.
Un devis est proposé et une demande d’entente est faite à la Sécurité Sociale.

Denture mixte:

Une seconde période d'action orthopédique est possible quand les 4 incisives supérieures sont sorties ( de 7 à 10 ans)

Quand les 4 incisives sont présentes, on remarque chez certains enfants un fort décalage entre les dents du haut et du bas, la mâchoire du bas est souvent en arrière.

C’est l’âge idéal pour stimuler la croissance mandibulaire une première fois.

Ces traitements durent entre 6 mois et 12 mois en fonction de la réponse de l’enfant.

Un devis est proposé et une demande d’entente préalable est faite à la Sécurité Sociale

Denture définitive:

Quand toutes les dents définitives sont sorties, on peux réaliser un traitement orthodontique par multiattache.

Auto ligaturant

C’est le multiattache collé , il peut être métallique ou transparent, avec élastiques ou auto ligaturant.

Le multiattache ne s’arrête pas au débaguage, une contention s'impose jusqu'à la venue des dents de 12 ans et des dents de sagesse. La contention dure plus d’un an. Pendant cette période l'adolescent porte un appareil fixe ou mobile pour stabiliser le nouvel équilibre dentaire. Je profite de ce temps pour réaliser des tests bactériens et de prédisposition à la parodontite. On enseigne l'usage du fil dentaire et l'adolescent devient un adulte averti.