
Les prothèses dentaires permettent de retrouver une esthétique du visage et de rétablir la fonction masticatoire. C'est l'insalivation des aliments pendant la phase d'écrasement des aliments par les dents qui constitue la première étape de la digestion. La présence de toutes les dents sur l'arcade est donc primordiale pour une mastication de qualité et donc une bonne digestion.
La posture corporelle est également perturbée si des dents sont absentes.
On recréé des dents absentes par de la prothèse amovible:
un stéllite dentaire
- avec ou sans crochet esthétique
- avec attachement sur couronne
- stabilisé par des implants dentaires par des couronnes sur implants.
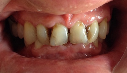
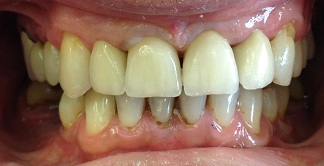
En présence de dents délabrées, on refait les dents en les coiffant de couronnes céramo céramique, céramométal, métal.
![]() |
![]() |
| Avant | Après |
![]() |
![]() |
| Avant | Après |
![]() |
![]() |
| Avant | Après |
![]() |
| Appareil crochet |
![]() |
![]() |
| Avant | Posser |
![]() |
![]() |
| Après | Appareil stellite |